Googleマップ

オールオン4(All-on-4)

平尾・薬院の歯医者|友枝歯科・矯正歯科クリニック平尾

平尾・薬院で歯医者をお探しの方
ご予約・ご相談はお気軽にどうぞ ▼

24時間WEB予約

目次

オールオン4は
こういう方にお勧めです!

  • 短期間で見た目も噛む力も回復したい方
  • 自然な笑顔と自信をもう一度持ちたい方
  • みんなと同じ食事を一緒に楽しみたい方
  • 全体的に歯周病が進行し
    歯がグラグラ・ボロボロの方
  • 歯がほとんど残っていない方

インプラントと
オールオン4(All-on-4)の違い

一般的なインプラント治療は失った歯の本数だけインプラント埋入を行うため、すべて歯を失っている場合は最大28本埋入する必要があります。また、埋入当日に仮歯まで入れるのは難しく、しばらく歯を失ったまま過ごさねばならないという難点があります。

一方、オールオン4(All-on-4)は、上下に最少4本ずつのインプラントを埋入し、即日で仮歯まで装着するという治療法です。手術も1回で終わるので、患者様の負担を軽減し、短時間で見た目と噛み合わせを回復することが可能です。

※患者様の顎骨の状態によっては当日に仮歯が装着できない可能性がございます。

オールオン4(All-on-4)

歯を補う治療方法

オールオン4 インプラント 総入れ歯
  インプラント オールオン4 総入れ歯
噛む
ほぼ100% ほぼ100% 10%
日常のお手
入れ
特別な
お手入れ不要

歯医者の定期検診必須
特別な
お手入れ不要

歯医者の定期検診必須
毎食後自分でお手入れが必須
歯医者での定期的な
検診と調整必須
寿命
異物感の有無
半永久的
異物感は無し
半永久的
異物感は無し
約1~3ヶ月
(修理・調整が必要)
強い異物感を感じる
治療
期間
6か月
(個人差有)
仮歯は手術日に入るため
1日で噛める
(個人差有)
6か月
(個人差有)
手術日に仮歯が
入らない場合
がある
1ヶ月
費用 「本数を抑えて全顎を支える治療」
インプラントを28本入れる
費用より安く、経済的
1本あたりでは
オールオン4より安価だが、
インプラントの本数が増えれば
増えるほど費用が高額になる
食事が不便になるが安い

友枝式オールオン4(All-on-4)

1.オールオン4の実績

当法人の総院長 友枝 亮がブラジルの世界最高峰の歯科大学「サンパウロ大学」でインプラント分野の世界的権威 Dr. Renato Rossi Jr. の「All-on-4」コースに参加し、技術を習得、患者様に治療をご提供しております。

オールオン4は1本インプラントとは異なり入念な治療計画や技術が必要となります。

友枝亮の監修の元 「オールオン4」 の治療を皆様にご提供しております。

オールオン4の実績

2.日本口腔インプラント学会
専門医 取得

2026年2月、当法人の総院長 友枝 亮 が
日本口腔インプラント学会 専門医
の資格を取得しました。

日本には約10万人の歯科医師がいますが、日本口腔インプラント学会(JOMI)**の専門医は約1,400名程度とされています。友枝 亮は同資格に加え、**国際的なICOI認定医(Fellow)も取得し、国内の最新知見・安全基準にも基づいた治療を実践しています。

国際的な視点と国内臨床の蓄積の両面から、患者さま一人ひとりに最適で安全なインプラント治療を提供し、これからも安心と信頼の医療を追求してまいります。

当院では、日本口腔インプラント学会 専門医の資格を有する友枝亮が
すべてのインプラント治療を責任監修。
国際的に認められた知識と技術に基づき、常に安全で、精度の高いインプラント治療をご提供いたします。

総院長 友枝亮の略歴について

ICOI(International Congress of Oral Implantologists) は、1972年に設立された世界最大級のインプラント学会で、本部をアメリカ・ニュージャージー州に置き、現在65か国以上・25,000名超の会員が所属しています。
インプラント治療の教育・研究・臨床の発展を牽引し、国際的に最も信頼される学会の一つです。

Fellow(フェロー) の称号は、国際基準を満たす高度な臨床技術と知識を有し、症例提出・厳正な審査と試験を経て認められた歯科医師にのみ授与されるものです。

ICOI Fellow(国際口腔インプラント学会認定医)

3.当法人インプラント専属顧問
細川隆司名誉教授

細川隆司は日本のインプラント治療に関して国内外で高く評価されている歯科医師です。

九州歯科大学の教授として多くの歯科医師を育成し、ハーバード大学でも研究を行うなど、世界水準の経験と知識を有しています。

日本口腔インプラント学会の理事長として、国内の臨床に最新の技術と国際基準を取り入れる取り組みを行っていました。

豊富な臨床経験と研究・教育に基づく実績により、患者様に安心と信頼のインプラント治療をご提供しています。

当院顧問:九州歯科大学名誉教授 細川隆司

1990年
九州歯科大学大学院 修了・歯学博士取得
1990年
ハーバード大学 歯学部 研究員・ボストン小児病院
整形外科 研究員
1991年
九州歯科大学 歯学部 助手(歯科補綴学第二講座)
1995年
広島大学 歯学部 助手(歯科補綴学第一講座)
1999年
広島大学 歯学部附属病院 講師
2003年
九州歯科大学 教授(歯科補綴学第二講座)
2004年
九州歯科大学 教授(口腔再建リハビリテーション学分野)
・口腔インプラント科 科長
2019年
九州歯科大学附属病院 副病院長
2020年
九州歯科大学 副学長
2022年
日本口腔インプラント学会 理事長
2024年
九州歯科大学 名誉教授

日本口腔インプラント学会(JOMI)について
日本口腔インプラント学会(JOMI)は、2024年8月時点で会員数16,000名を超える、日本国内で最大規模、かつ世界的にも有数のインプラント関連学会です。
インプラント治療の発展と普及を目的とし、歯科医師同士が知識・技術を共有しながら研鑽を積むことで、患者さまにより良い治療を提供することを目指しています。

当法人インプラント専属顧問

当院顧問:九州歯科大学名誉教授
細川隆司

1990年
九州歯科大学大学院 修了・歯学博士取得
1990年
ハーバード大学 歯学部 研究員・ボストン小児病院 整形外科 研究員
1991年
九州歯科大学 歯学部 助手(歯科補綴学第二講座)
1995年
広島大学 歯学部 助手(歯科補綴学第一講座)
1999年
広島大学 歯学部附属病院 講師
2003年
九州歯科大学 教授(歯科補綴学第二講座)
2004年
九州歯科大学 教授
(口腔再建リハビリテーション学分野)
・口腔インプラント科 科長
2019年
九州歯科大学附属病院 副病院長
2020年
九州歯科大学 副学長
2022年
日本口腔インプラント学会 理事長
2024年
九州歯科大学 名誉教授

日本口腔インプラント学会(JOMI)について
日本口腔インプラント学会(JOMI)は、2024年8月時点で会員数16,000名を超える、日本国内で最大規模、かつ世界的にも有数のインプラント関連学会です。
インプラント治療の発展と普及を目的とし、歯科医師同士が知識・技術を共有しながら研鑽を積むことで、患者さまにより良い治療を提供することを目指しています。

4.再生医療PRGF

現在、最も安全で画期的な骨、軟組織を再生させる技術で、治療のスピードは倍速になります。さらに痛みや腫れや再感染を減らすことができますので、治療期間を短くしたい方やお痛みが苦手な方に最適な治療となっております。

海外では有名な治療方法ですが、国内ではまだ発展しておらず、福岡県の歯科医院では3075軒中18軒(わずか0.5%)しか導入されていない希少な治療です。

再生医療等提供計画(治療)を国に届出した医療機関の一覧

インプラント4
再生医療PRGF

インプラントにPRGFを絡ませてから埋入すると、インプラントの周りに骨(紫色)がしっかりできていることがわかります。

左:PRGF無 /
右:PRGF有

再生医療PRGF

PRGFを入れることにより傷の治りが早くなります。

また術後の腫れや疼痛も緩和します。

再生医療PRGFの費用
¥60,500

治療等の主なリスク、副作用
採血の際の副作用として、まれに一過性の腕の内出血や、一時的な手の痺れなどを発症することがあります。しかしながら本採血は、一般に行われるものと同様の方法であり、これらの症状は通常いずれも重篤なものではありません。
本療法の提供後の副作用として、創部の炎症反応がございますが、一般の治療においてもみられる副作用であり、この療法に起因する症状ではありません。

5.デジタルインプラント・
「ワンガイド」システム

従来のインプラントを覆す!
従来の方法は精密な審査・診断を行っても、最終的な処置段階では術者の経験や感覚に頼らざるを得ないケースが大半でした。

当院のインプラントは審査・診断・処置に至るまで全て、デジタル化にすることで、患者様に適した治療を行うことができます。
デジタル化で行うことで、個人差の少ない手術を行うことができます。

デジタルインプラント

必要以上の切開を行わないため、痛みや腫れが少なく、治療の時間も短縮できるため、患者様の負担を抑えることができます。

※症例によりワンガイドを使用しない場合もあります。

デジタルインプラント

“怖い”を“安心”に変える歯科治療
「静脈内鎮静法」

静脈内鎮静法とは、点滴から鎮静薬を少しずつ投与して、リラックスした状態で治療を受ける方法です。

眠るように落ち着いた状態になりますが、完全に眠る全身麻酔とは違い、声をかけると反応できる程度の浅い眠りです。

恐怖心や緊張が強い方でも、安心して治療を受けていただけます。

当院では日本歯科麻酔学会認定医と協力し、静脈内鎮静法を取り入れております。

  • 歯科恐怖症の方
  • ストレスなく治療を終えたい方
  • 嘔吐反射の強い方
  • 長時間の治療が必要な方
口腔外科専門医・インプラント治療監修医

当院で使用している
インプラント

NEODENT

世界の歯科インプラント市場において、
シェア世界No.1の「ストローマン」グループのブランドで科学的信頼性 × ブラジルの臨床スピードと柔軟性を融合

日本国内でも
「世界90ヵ国以上で年間300万本以上販売」
「開発から30年以上の実績」があり
コストパフォーマンスと臨床信頼性のバランスが強みのメーカー

NEODENT

オールオン4の流れ

横スクロールでご覧いただけます。

  • ①無料カウンセリング

    お電話またはWEBにて、お悩みの内容と来院のご希望日時をお伝えください。当院では患者さまとお話しするお時間を大切にしております。

  • ②診査・診断・治療計画

    診査・診断・治療計画は、オールオン4を成功させるためにとても重要です。治療方針をすり合わせ患者様それぞれに合わせたオーダーメイドの治療を慎重に進めていきます。

  • ③術前治療

    最初の口腔内の状態により、すぐに手術できない場合は、歯周病治療や噛み合わせ確保のため術前治療を行い口腔内の環境を整えます。オールオン4治療後にかみ合わせ機能を持続させるため、この術前治療が極めて重要になってきます。

  • ④手術+仮歯作成

    患者様としっかり信頼関係を築いたうえで、ドクターが責任をもって手術を行います。手術中、不快感や痛みを感じることはほとんどありません。術後も少しお休みいただき、安静な状態でお帰りいただきます。オールオン4の手術は1回で終了し、その日に仮歯が入るた咀嚼と審美面が回復できます。(個人差あり)

  • ⑤最終の本歯(補綴物)作成

    インプラントのねじ(フィクスチャー)が顎の骨と結合したことが確認できたら最終補綴物を作成します。天然歯に近い見た目の美しさと快適な噛み心地を実現できます。

  • ⑥メンテナンス

    インプラントは歯周病になることがあり、骨が下がると審美面や機能面に影響が出ます。当院ではそのようなことがないようにメンテナンスをしっかり行っております。

ガイドデント保証について

GUIDEDENT AWARD 2025
PREMIUM受賞

GUIDEDENT AWARD 2025

この度、第三者保証機関「ガイドデント」15周年表彰において、
全国3,000件以上の認証医院の中から「PREMIUM医院(Best50)」に選出されました。

本表彰は、治療実績や再治療率などの客観的データをもとに評価されるもので、当法人が運営する博多駅前院・平尾院・福岡天神院の3院における過去6年間の治療実績が高く評価された結果です。

対象となった治療本数はインプラント・審美セラミック治療:計1,530本。
そのうち再治療は16本で、再治療率はわずか1.0%という極めて低い数値を達成しました。

この結果は、各院の歯科医師・歯科衛生士・スタッフ全員が「美しさ・機能性・長持ち」を大切にし、一本一本の治療に誠実に向き合ってきた積み重ねであり、そして何より、当院を信頼して通ってくださる患者様の存在があってこそ得られたものです。

今回の受賞に伴い、PREMIUM認定トロフィーを拝受するとともに、ガイドデント公式サイトでの医院紹介も強化されました。これにより、患者様がより安心して医院を選んでいただける環境が整っています。

今後も、確かな技術と実績に基づいた治療を通じて、皆様に信頼される歯科医療を提供してまいります。

・年に2度以上の定期メインテナンスを受けていただく必要があります。
・埋入本数により料金が変動いたします。

詳しくはこちら

料金表・お支払い方法

オールオン4の費用

  オールオン4
(保証なし)
オールオン4
(保証あり)
CT診断・説明 ¥22,000
(税込¥24,200)
¥22,000
(税込¥24,200)
片側
オールオン4
+PRGF
+静脈内鎮静
¥3,200,000
(税込¥3,520,000)
¥3,200,000
(税込¥3,520,000)
10年保証 ¥0 ¥140,000
(税込¥154,000)

¥390,000
(税込¥429,000)
インプラント
サポート3個
栄養指導付
¥27,000
(税込¥29,700)
¥27,000
(税込¥29,700)
合計 ¥3,249,000
(税込¥3,573,900)
¥3,389,000
(税込¥3,727,900)

¥3,639,000
(税込¥4,002,900)

※CT撮影・診断費用は、インプラントの本数に関わらず一律で発生いたします。
※メンテナンス費として、片顎あたり¥11,000(税込)を頂戴いたします。
※片顎のインプラントを一度取り外してクリーニングし、再装着する場合は、¥33,000(税込)の費用がかかります。
※両顎の場合は、上記片顎料金の2倍の費用となります。

※2026年2月現在。
内容、価格等は予告なく変更する場合がございます。
詳しくはクリニックまでお問い合わせください。

お支払い方法

現金 15万円以上でお振込み
クレジットカード 分割払い可能
デンタルローン クレジットカードよりも
利子が低く
分割最大120回まで可能。
スマホで簡単に手続きが行えます。
上限500万円まで

自費診療は、保険診療同様に医療費控除の対象になります。

医療費控除を活用することで、
●確定申告を行うことで、控除が受けられます。
●通院にかかる交通費も対象になります。
●ご家族で年間総額10万円以上医療費が発生した場合に対象になります。
※領収書は再発行できませんので、お気をつけください。

医療費控除額のシュミレーション

世帯年収 医療費控除
発生最低額
1年間で支払った医療費の合計
20万円 30万円 50万円 70万円 100万円
軽減される税額
300万円 96,000円 15,000円 30,000円 60,000円 90,000円 106,500円
500万円 100,000円 20,000円 40,000円 80,000円 120,000円 180,000円
700万円 100,000円 30,000円 60,000円 120,000円 180,000円 270,000円
1000万円 100,000円 30,000円 66,000円 132,000円 198,000円 297,000円

※横にスクロールできます。

そもそも、医療費控除とは?

治療費が一定額を超えると、所得に応じて国から補助を受けることができます。詳しくは国税庁HPをご覧ください。

オールオン4の症例紹介

※金額は全て税込表示です。

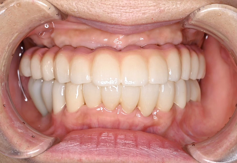
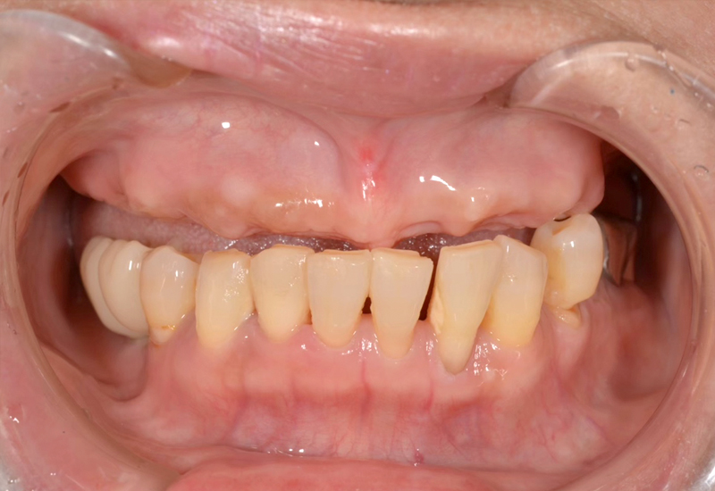
case1

術前

オールオン4術前写真

術後

オールオン4術後写真
主訴 噛めない・見た目の改善希望
(上顎は重度歯周病で保存不可)
治療期間 即日:抜歯+インプラント4本+仮歯装着
治癒期間:3〜4か月
最終補綴:4〜6か月
治療費 片顎のみ:¥3,630,000
上下両顎の場合:¥7,260,000
治療内容 上顎の抜歯
インプラント4本埋入
ガイド使用
即日プロビジョナル
治癒後フルジルコニアブリッジ
抜歯の有無 上顎:あり
下顎:なし
治療のリスク インプラントが結合しない可能性
咬合調整が必要な場合
インプラント周囲炎のリスク

幸せを追求し、健康長寿を実現する
新しい歯科医療

平尾・薬院の歯医者|友枝歯科・矯正歯科クリニック平尾

平尾・薬院の歯医者・歯科「友枝歯科・矯正歯科クリニック平尾」は福岡市中央区平尾のおもてなしとアンチエイジングを軸にした新しいクリニックです。幸せを追求し、健康長寿を実現する新しい歯科医療を提供し、社会に貢献します。ホワイトニング、矯正歯科、審美歯科など幅広い治療を行います。

  • 平尾駅より徒歩8分
  • 各種保険診療対応
  • 土曜診療
  • 充実の歯科医療設備

平尾・薬院で歯医者をお探しの方
ご予約・ご相談はお気軽にどうぞ ▼

24時間WEB予約