通常の虫歯の治療は、歯を削って塞ぐことが基本になりますが、当院での虫歯治療は、ただ虫歯の再発を防ぐだけではなく、審美的に美しくしております。
目次
当院の
審美歯科の考え方
審美歯科とは、ただ白いセラミックの詰め物・被せ物で治療をすることではなく、天然の歯を生涯守るためのアンチエイジング治療と考えております。
虫歯の再発を防ぐために、銀歯ではなく、セラミックでの治療が有効です。
虫歯の再発を防ぐ、
審美歯科治療について
虫歯再発を防ぐ、
審美歯科治療の流れ
- 事前検査
-
虫歯があります
- 虫歯部分を染色
-
小さく見えても、中で大きく広がっていることもあります。
- 虫歯部分を削る
-
虫歯に感染した部分を削ります。
- 隠れている虫歯
-
一見、虫歯がないように見えますが…
- 詰め物を外すと、
二次虫歯の場合も -
内面が黒ずんでいるのは、カビや銀歯の錆びが、飲み込まれずに溜まっているからです。
- 更に歯を
削ることになります -
削った部分を補うパーツは、素材選びが重要になります。
歯のライフサイクル
最終的に
抜歯になる可能性も…
歯は、何度でも治療できるわけではありません。
虫歯になる度に歯はどんどん削られ、最終的に抜歯になります。
実際に
お口の中を見てみましょう
銀歯の詰め物ですと、詰め物をしていることが分かりますが、セラミックやジルコニアの詰め物になると目立ちにくくなります。
また、虫歯が再発するリスクも抑えることができるので、大切なご自分の歯を長期に渡って守ることができます。
素材選びの重要性について
当院では、安全性と患者さまの健康のため、銀歯以外の素材をご説明しています。
その時々の選択の積み重ねが、将来を大きく左右し兼ねません。
保険診療
- メタル(銀歯)が使用されている
- 流れ作業で数人が作成(大量生産)
自費診療
- 素材の安全性が高い
- 上級の歯科技工士さんが制作
- オーダーメイドで精密に作ります
- 歯との段差などが保険の歯と比べて少ない
1年に2回以上定期検診に来ていただければ、2年間の保証もついております。
虫歯を削った部分を何で補うかにより、二次的な影響を及ぼす可能性が生じます。
二次虫歯に注意
金属は温度の影響を受けて伸びたり縮んだり変化するため、歯との間に隙間ができやすく、隙間部分に虫歯が発生しやすくなります。
金属はレントゲンでは不透過のため、付近の虫歯は発見しずらい問題もあります。
金属アレルギーによる反応
銀歯には、金属アレルギーの問題が付きまといます。・銀歯をしていると少しずつ溶けて体内に吸収され続けている状態です。
ハッキリと体に現れない不調も、アレルギーの可能性があると近年言われます。
酸化による影響
銀歯は少しずつ唾液で溶かされて体内に吸収されます。そして、細胞に蓄積され、細胞が老化していきます。
アンチエイジング医学的に見ても、体が錆びてきてしまう要因でもあります。
発がんの可能性
日本の銀歯は12%パラジウム合金という金属でできています。実はこれは、ヨーロッパの一部の国では発ガン性の恐れがあるため、使われていない金属です。
銀歯が、ガンなどの病気へと繋がる可能性が近年明らかになっています。
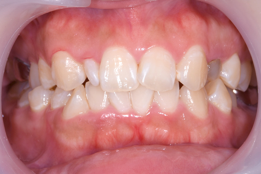
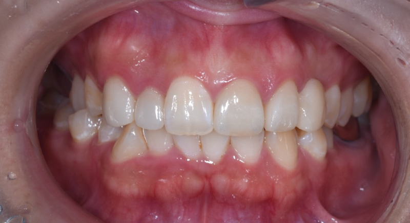
セラミック治療の症例
case1
術前
術後
| 年齢・性別 | 30代 女性 |
|---|---|
| 治療内容 | 右下4番 セラミッククラウン |
| 治療費用 | 1歯あたり150,315円(税込) |
| 治療期間 | 2週間~1か月(個人差あり) |
| 治療のリスク | 虫歯の大きさによって痛みが残ったり、 神経をとる必要がある。 虫歯がなくても神経をとる場合がある。 強い咬合力や衝撃により割れることがある。 隣接する歯と全く同じ色は難しい。 年齢による歯肉退縮により、 いずれ歯茎の際が みえてくることがある。 |
case2
術前
術後
| 主訴 | 前歯の形が気になるので綺麗にしたい |
|---|---|
| 治療内容 | 審美性を回復させるために上の前歯5本の歯を一層削合し、型取りを行った。 一度形を最終確認し、型どりから約2週間後完成したセラミックの被せ物とブリッジを装着した。 |
| 治療費用 | 718,740円(税込) |
| 治療期間 | 3か月 |
| 治療のリスク | 治療によっては歯の体積を削る量が多い場合があります。 |
| 治療の副作用 | 治療後、軽い出血や痛みを伴う可能性があります。 稀にセラミックが欠ける場合があります。 |
case3
術前
術後
| 主訴 | 前歯が欠けた、少ししみる |
|---|---|
| 治療内容 | 神経が露出ていたため歯髄温存療法を行い、両隣の歯の形や大きさを考えダイレクトべニアで修復しました。 |
| 治療費用 | 歯髄温存療法とダイレクトべニア 138,600円(税込) |
| 治療期間 | 1日 |
| 治療のリスク | 治療によっては歯の体積を削る量が多い場合があります。 |
| 治療の副作用 | 治療後、軽い出血や痛みを伴う可能性があります。 稀にセラミックが欠ける場合があります。 |
case4
術前
術後
| 主訴 | ホワイトニングを行いたい |
|---|---|
| 治療内容 | 神経が露出ていたため歯髄温存療法を行い、両隣の歯の形や大きさを考えダイレクトべニアで修復しました。 |
| 治療費用 | 仮歯2本とセラミック2本 312,730円(税込) |
| 治療期間 | 3週間 |
| 治療のリスク | 治療によっては歯の体積を削る量が多い場合があります。 |
| 治療の副作用 | 治療後、軽い出血や痛みを伴う可能性があります。 稀にセラミックが欠ける場合があります。 |
セラミックの
素材について
ファイバーコア
(繊維でできた土台)
コア(土台)は、神経を取った歯の中の空洞を埋めつつ、歯根部分から被せ物の軸を立てて補強するために使用します。
メリット
- しなる性質があり、歯が割れる可能性が低い
- メタルフリーで、金属アレルギーの心配がない
- 審美性に優れる
- 歯の強度と近い
- 接着性セメントを使用するので、外れにくく、虫歯になりにくい
デメリット
- 保険適用外
セラミック
セラミックは、長く使われて来た歴史と安全性があります。色も透明感がありとてもキレイです。
上質セラミックは、技工士が実際にお口の中を見てもらい色を合わせます。
メリット
- 透明感があり、馴染みがいい
- 強度がほとんど歯に近い
- 歴史があり、安全性に長ける
- 変色しない
- メタルフリーで、金属アレルギーの心配がない
- 接着性セメントを使用するので、 外れにくく、虫歯になりにくい
デメリット
- 保険適用外。1番奥の歯には、強度の関係で作成不可の場合がある。
ジルコニア
ジルコニアは、人工のダイヤモンドでできています。強度に優れ、割れにくいのが特徴です。
しかし、光を透過しないので、セラミックほどの透明感はありません。
メリット
- 強度に優れ、割れにくい
- 変色しない
- メタルフリーで、金属アレルギーの心配がない
- 接着性セメントを使用するので、 外れにくく、虫歯になりにくい
デメリット
- 保険適用外
- 透明感がなく、色が歯に馴染みにくい場合がある
審美歯科治療の料金
ファイバーコア
| ファイバーコア | 24,200円(1歯につき) |
|---|
※表示金額は税込
※価格は2025年3月現在のものです。
内容、価格等は予告なく変更する場合がございます。
詳しくはクリニックまでお問い合わせください。
セラミック
E-max
歯科医師や歯科衛生士がお口の中を確認して、色を決めます。
E-max(プレミアム)
歯科技工士が直接お口の中を確認して、色を決めます。
| E-max | E-max (プレミアム) |
|
|---|---|---|
| 小さな詰め物 (インレー) |
65,450円〜 | 87,450円〜 |
| 大きな詰め物 (アンレー) |
74,140円〜 | 96,140円〜 |
| 被せ物 (クラウン) |
150,315円〜 | 172,315円〜 |
※表示金額は税込
※価格は2025年3月現在のものです。
5年保証は別途21,000円(税込23,100円)かかります。
内容、価格等は予告なく変更する場合がございます。
詳しくはクリニックまでお問い合わせください。
ジルコニア
ジルコニア
3色+単色から歯の色合いを調整いたします。
ジルコニア(プレミアム)
16色+グラデーションから自然な歯の色合いに調整できます。
| ジルコニア | ジルコニア (プレミアム) |
|
|---|---|---|
| 小さな詰め物 (インレー) |
65,450円〜 | 87,450円〜 |
| 大きな詰め物 (アンレー) |
74,140円〜 | 96,140円〜 |
| 被せ物 (クラウン) |
150,315円〜 | 172,315円〜 |
※表示金額は税込
※価格は2025年3月現在のものです。
5年保証は別途21,000円(税込23,100円)かかります。
内容、価格等は予告なく変更する場合がございます。
詳しくはクリニックまでお問い合わせください。
自費診療の利点
当院では、自費診療を行なっております。
最先端
保険診療は、昭和30年代(約60年前)から治療方法がほぼ変わっていません。
自費診療は、最先端の材料と技術で治療することができ、ベストな状態にすることが可能です。
最善・最短

早い段階で全体の治療を決められるため、最善の順番、早くから予約を抑えることができるため、スムースに最短で治療が可能になります。
再発軽減

虫歯や歯周病の再発リスクを下げる補綴物や、マウスピースでの治療・予防など、最新治療も当院で行うことができます。
お支払い方法
| 現金 | 15万円を超える場合はお振込のみ |
|---|---|
| クレジットカード | 一括・分割払い可能 |
| デンタルローン | クレジットカードよりも利子が低く、 分割も最大120回まで可能。 ※ローンお見送りの場合、都度払い可 |
ガイドデント保証について
GUIDEDENT AWARD 2025
PREMIUM受賞

この度、第三者保証機関「ガイドデント」15周年表彰において、
全国3,000件以上の認証医院の中から「PREMIUM医院(Best50)」に選出されました。
本表彰は、治療実績や再治療率などの客観的データをもとに評価されるもので、当法人が運営する博多駅前院・平尾院・福岡天神院の3院における過去6年間の治療実績が高く評価された結果です。
対象となった治療本数はインプラント・審美セラミック治療:計1,530本。
そのうち再治療は16本で、再治療率はわずか1.0%という極めて低い数値を達成しました。
この結果は、各院の歯科医師・歯科衛生士・スタッフ全員が「美しさ・機能性・長持ち」を大切にし、一本一本の治療に誠実に向き合ってきた積み重ねであり、そして何より、当院を信頼して通ってくださる患者さまの存在があってこそ得られたものです。
今回の受賞に伴い、PREMIUM認定トロフィーを拝受するとともに、ガイドデント公式サイトでの医院紹介も強化されました。これにより、患者さまがより安心して医院を選んでいただける環境が整っています。
今後も、確かな技術と実績に基づいた治療を通じて、皆様に信頼される歯科医療を提供してまいります。
1年に2回以上定期検診に来ていただければ、2年間の保証もついております
虫歯を削った部分を何で補うかにより、二次的な影響を及ぼす可能性が生じます。
年に2度以上の定期検診を受けていただいている場合、最大10万円までの補償が可能です。
| 審美 5年保証 申込料 | ¥23,100 |
|---|
※2026年2月現在。
詳しくはこちら医療費控除について
歯科治療で医療費控除ができるもの
- ・インプラント治療
- ・セラミックなど自費の詰め物や被せ物
- ・歯列矯正
- ・自費の入れ歯
- ・抜歯や歯周外科や根管治療を自費で行ったもの
- ・保険診療
- ・歯医者に通うための交通費(※自家用車のガソリン代・駐車費用は対象外)
医療費控除とは
医療費が10万円超えたら医療費控除を行うことで、支払った所得税の一部が控除され戻ってくるというものです。
1年間(1月1日~12月31日)に支払った全ての医療費(各種保険診療、インプラント・矯正治療などの自費診療)の合計が10万円を超えた場合に、支払った所得税の一部が控除され戻ってきます。
医療費控除の申告の期間は、翌年の2月16日から3月15日までで、管轄の区役所・市役所・税務署などで受付けており、現在は郵送やインターネットでの申告も可能です。
医療費控除の対象となる計算式
控除の対象となる金額=「実際に支払った医療費の合計」-「保険金等で補てんされる金額」-10万円
医療費控除の対象となる金額がマイナスの場合は医療費控除とはなりません。
医療費控除額は最高200万円までです。
実際の医療費控除額の計算式
医療費控除額=「所得税から戻ってくる金額」+「住民税から戻ってくる金額」
所得税から戻ってくる金額=「医療費控除の対象となる金額」×「あなたの税率」
住民税から戻ってくる金額=「医療費控除の対象となる金額」×「0.1」