患者さまから黄ばみや痛みについてのお悩みをよく聞きます。
黄ばみに関してはマウスピース矯正とホームホワイトニングの併用で改善が可能です。
さらに「pbmヒーリング※」を使用することによって、矯正による歯の動きをスムーズにし、痛みの緩和・矯正期間を短縮させることができます。
※pbmヒーリングの役割…歯周組織に近赤外線光を照射し組織の細胞を活性化させ、骨の代謝を促します。
当院では、マウスピース矯正と二つを組み合わせ、スピーディーに治療を行うことができます。

|
|
|
|---|---|
| 見た目 | ○:透明で目立ちにくい |
| 期間 | ◎:数ヶ月〜2年間程度 (友枝歯科では) |
| 感覚 | ○:マウスピースのため違和感が少ない ご自身で7日〜10日ごとで マウスピースを交換、 ワイヤー矯正より痛みが少ない |
| 食事・日常生活 | ◎:着脱可能なため、 今まで通りの食事・歯磨きが可能 |
|
|
|
|---|---|
| 見た目 | ×:表側に金具がつく |
| 期間 | ×:数ヶ月~3年間程度 (1回の治療時間が長い) |
| 感覚 | ×:1ヶ月分の力を一気に加えるため痛い 金具が唇にあたり、口内炎などができやすい |
| 食事・日常生活 | ×:食べ物が詰まりやすくなる 歯磨きが難しくなる =虫歯・歯周病のリスクが高くなる |
インビザライン
|
ワイヤー矯正(従来)
|
|
|---|---|---|
| マウスピース矯正 (インビザライン) |
ワイヤー矯正(従来) | |
| 見た目 | ○:透明で目立ちにくい | ×:表側に金具がつく |
| 期間 | ◎:数ヶ月〜2年間程度 (友枝歯科では) |
×:数ヶ月~3年間程度 (1回の治療時間が長い) |
| 感覚 | ○:マウスピースのため違和感が少ない ご自身で7日〜10日ごとで マウスピースを交換、 ワイヤー矯正より痛みが少ない |
×:1ヶ月分の力を一気に加えるため痛い 金具が唇にあたり、口内炎などができやすい |
| 食事・日常生活 | ◎:着脱可能なため、 今まで通りの食事・歯磨きが可能 |
×:食べ物が詰まりやすくなる 歯磨きが難しくなる =虫歯・歯周病のリスクが高くなる |
歯を並べるだけで治療は完了しません。
矯正中も終了後も虫歯・歯周病にならないようにする必要があります。
患者さまの負担のことも考え、当院ではマウスピース矯正を推奨しております。
患者さまから黄ばみや痛みについてのお悩みをよく聞きます。
黄ばみに関してはマウスピース矯正とホームホワイトニングの併用で改善が可能です。
さらに「pbmヒーリング※」を使用することによって、矯正による歯の動きをスムーズにし、痛みの緩和・矯正期間を短縮させることができます。
※pbmヒーリングの役割…歯周組織に近赤外線光を照射し組織の細胞を活性化させ、骨の代謝を促します。
当院では、マウスピース矯正と二つを組み合わせ、スピーディーに治療を行うことができます。
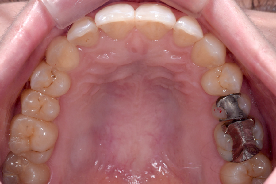
近年歯科では専門化が進んでおり、矯正歯科は矯正だけを行う事が多くなってきています。
歯並びを治した後、総合的な治療やメインテナンスを行いたいと思っても新たな歯科医院を探すのは大変で結局足が遠のいてしまうということも・・・
当院では専門的に虫歯・歯周病の治療を行うドクターが在籍しておりますので、一つの歯科医院でお口の中の総合治療を行う事ができます。計画段階から虫歯・歯周病治療を組み合わせることによって、治療期間も短くなり専門科が求める理想的な形に仕上げることができます。
写真・レントゲンおよび歯型をスキャンします。
アライナー到着後、約1週間を目安に新しいアライナーに交換します。
はじめの1ヶ月は1週間ごと、問題なければ1〜2ヶ月ごとで経過観察を行います。
矯正治療終了後、歯の位置を安定させるために使用します。
| プラン | 適応例 | 価格 | |
|---|---|---|---|
| プレミアム3 | 抜歯やインプラントを従うような難しいケース | ¥1,100,000 (税込¥1,210,000) |
|
| スタンダード | 一般的な全体を動かすマウスピース矯正のケース | ¥900,000 (税込¥990,000) |
|
| ライト | 部分的に動かせば事足りるケース(前歯のみなど) | ¥700,000 (税込¥770,000) |
|
| ミニマム | 2,3本など軽度なケース | ¥398,000 (税込¥437,800) |
|
| 内容 | 価格 | |
|---|---|---|
| 相談料 | 無料 | |
| 精密診断 | ¥38,500 (税込¥42,350) |
|
| ホームホワイトニング ◎ | ¥25,000 (税込¥27,500) |
|
| PBMヒーリング ◎ | ¥100,000 (税込¥110,000) |
|
| ピュリオプラン (芸能人歯科) ◎ |
¥120,000 (税込¥132,000) |
|
| 保定 装置 ◎ |
ヒベラ リテーナー 3点セット |
¥71,500 (税込¥78,650) |
| ワイヤー型 リテーナー |
¥55,000 (税込¥60,500) |
|
◎オプションとなります
※2025年6月現在。
内容、価格等は予告なく変更する場合がございます。
詳しくはクリニックまでお問い合わせください。
| 銀行振込 | 振込手数料は患者さま負担となります。 |
|---|---|
| クレジットカード | 分割払いが可能です。 |
| デンタルローン | クレジットカードよりも利子が低く、分割も最大120回まで可能です。 スマホで簡単に手続きが 行えます。 ※ホワイトニングには、デンタルローンは適応されません。 |
| マウスピース矯正 インビザラインフル ¥1,024,000(税込) | 月額¥10,100から分割払い可能 |
|---|
※領収書は再発行できませんので、お気をつけください。
| 世帯年収 | 医療費控除 発生最低額 |
1年間で支払った医療費の合計 | ||||
|---|---|---|---|---|---|---|
| 20万 | 30万 | 50万 | 70万 | 100万 | ||
| 軽減される税額 | ||||||
| 300万円 | ¥96,000 | ¥15,000 | ¥30,000 | ¥60,000 | ¥90,000 | ¥106,500 |
| 500万円 | ¥100,000 | ¥20,000 | ¥40,000 | ¥80,000 | ¥120,000 | ¥180,000 |
| 700万円 | ¥100,000 | ¥30,000 | ¥60,000 | ¥120,000 | ¥180,000 | ¥270,000 |
| 1000万円 | ¥100,000 | ¥30,000 | ¥66,000 | ¥132,000 | ¥198,000 | ¥297,000 |
「未承認医薬品等の明示」について下記より内容をご確認いただけます。
詳しく見る
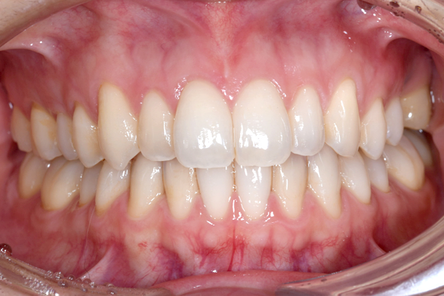
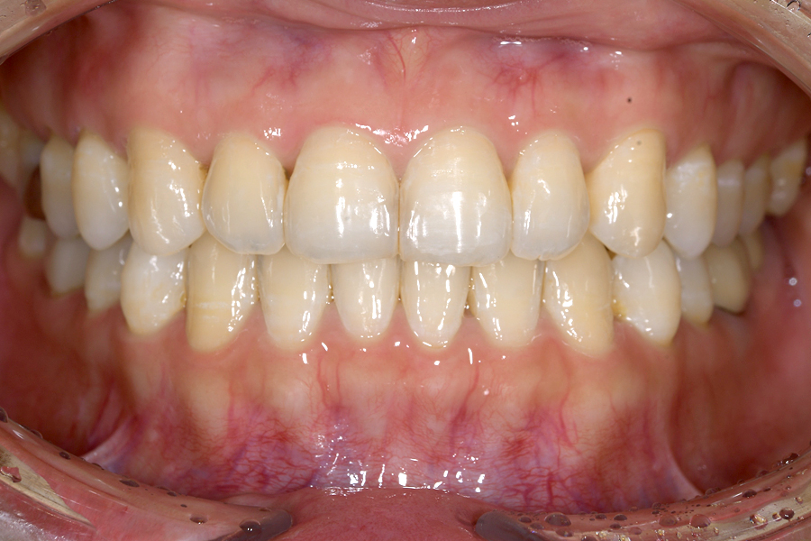
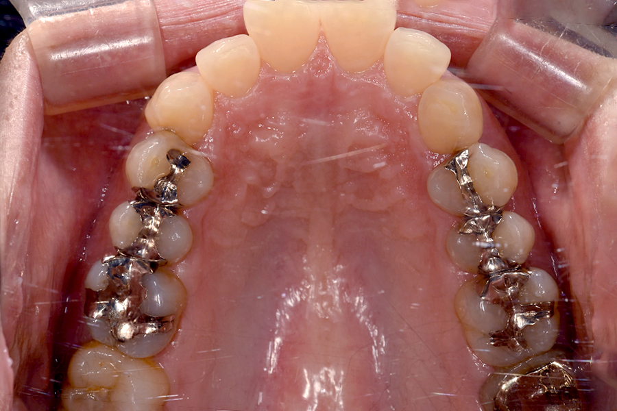
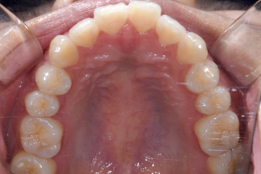
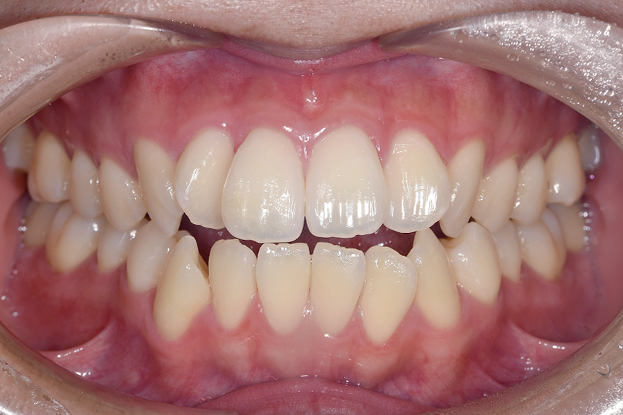
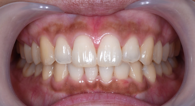
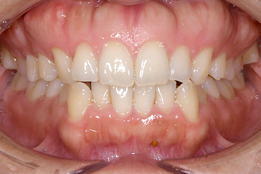
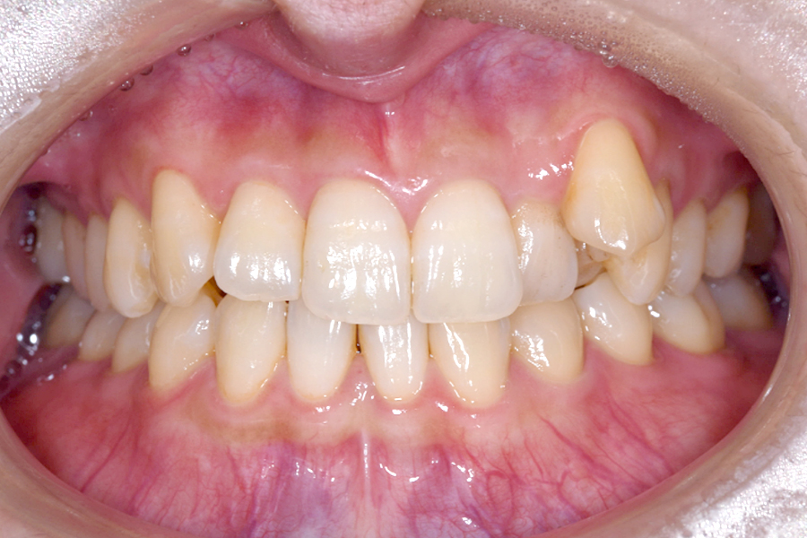
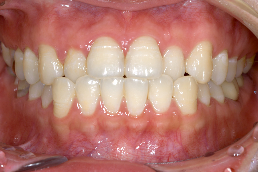
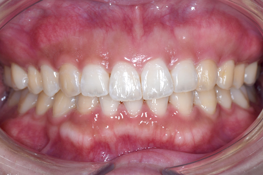
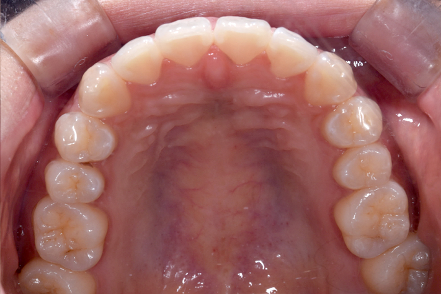
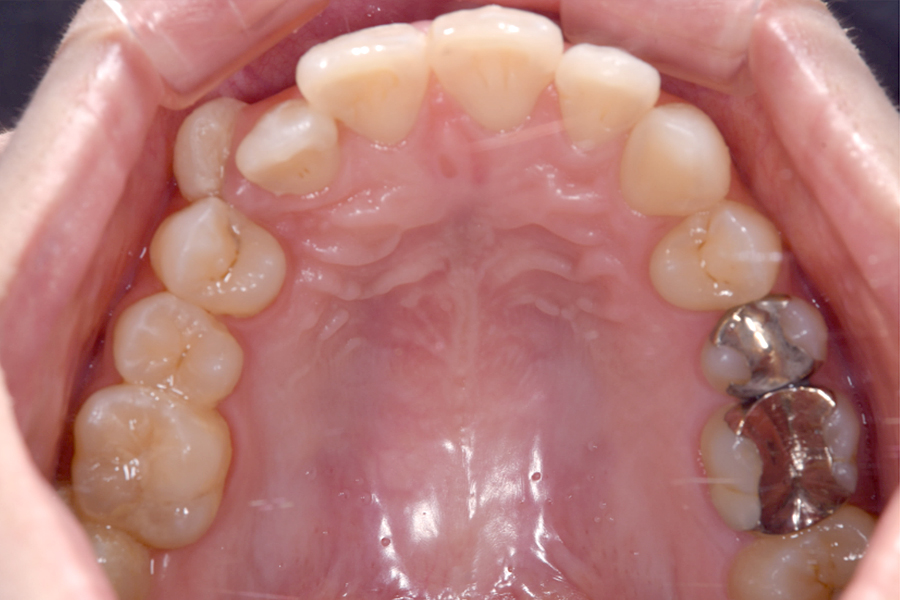
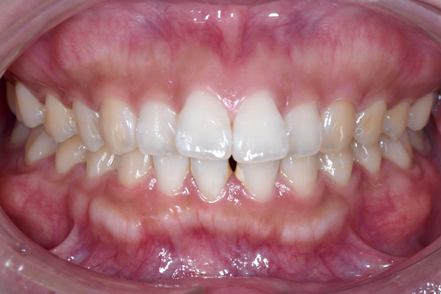
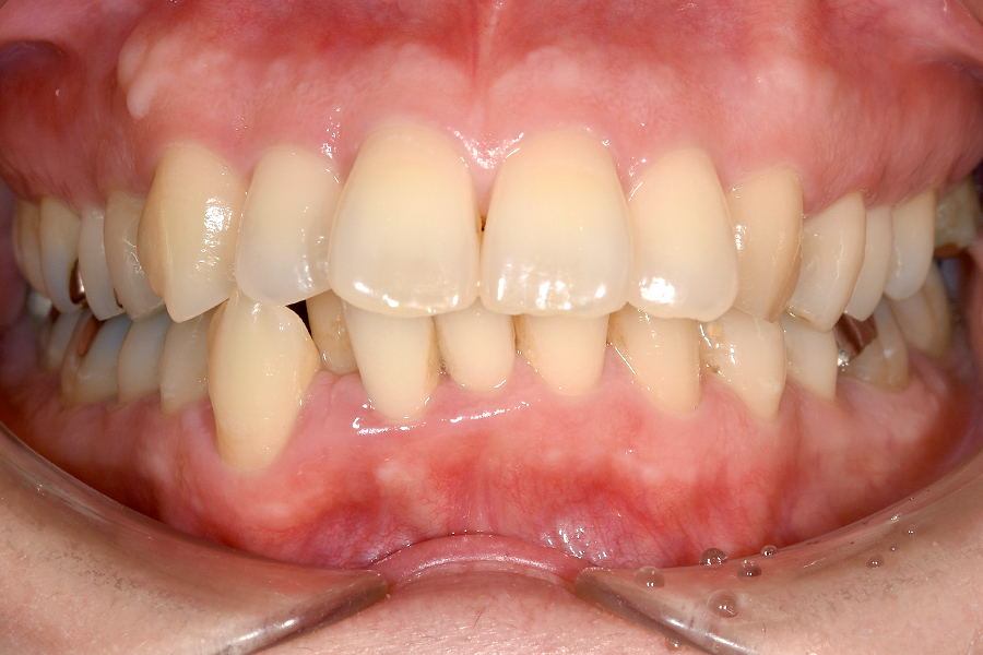
| 主訴 | 見た目を治したい、歯を白くしたい |
|---|---|
| 治療期間 | 1年6か月 |
| 治療費 | マウスピース矯正と ホームホワイトニングセット 1,022,350円(税込) |
| 治療内容 | 目立ちにくいマウスピース矯正 (非抜歯矯正) 歯と歯の間に隙間をつくることにより、歯列弓を広げながら治療を行いました。 また矯正用マウスピースをトレー代わりにし、ジェルを入れてホームホワイトニングを同時に行っております。 |
| 治療のリスク | ・後戻りする可能性があるのでリテーナーを最低でも矯正期間以上はつける必要があります。 ・ホワイトニング後、一時的に痛みが出る場合があります。 |
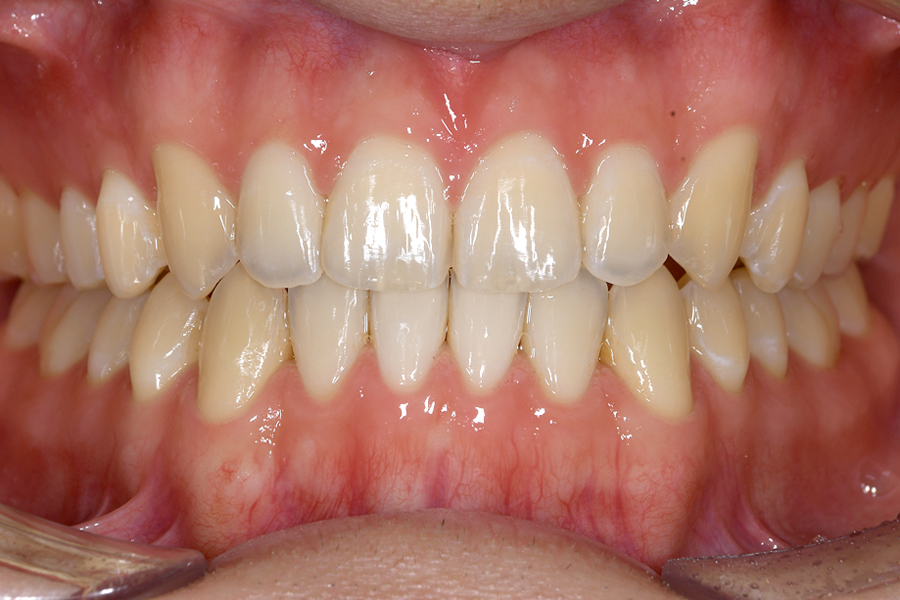
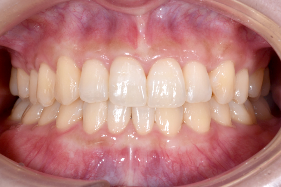
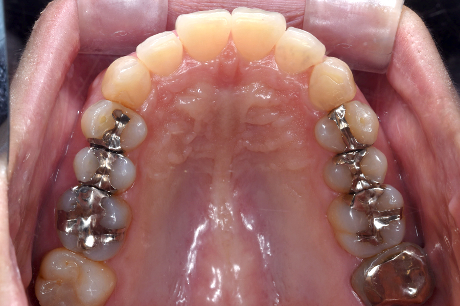
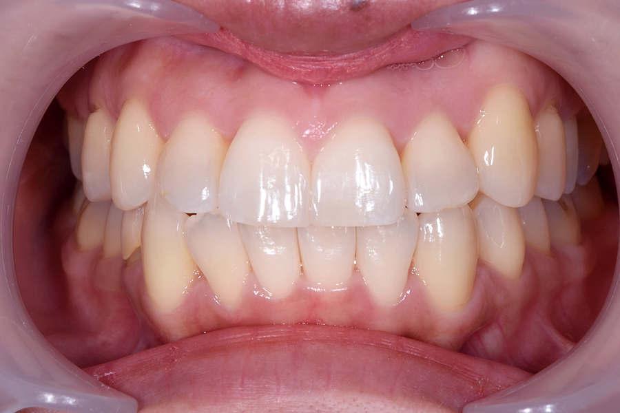
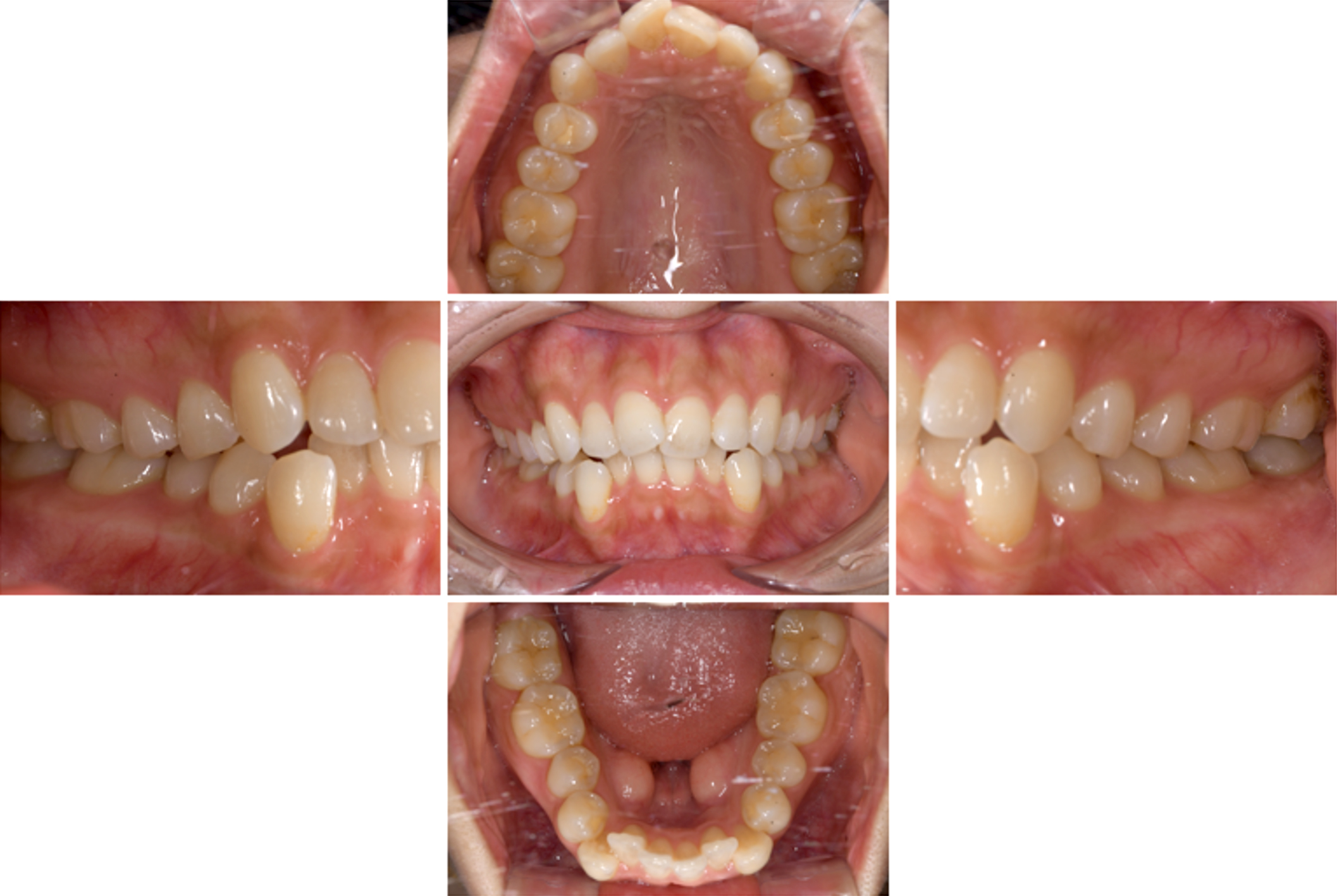
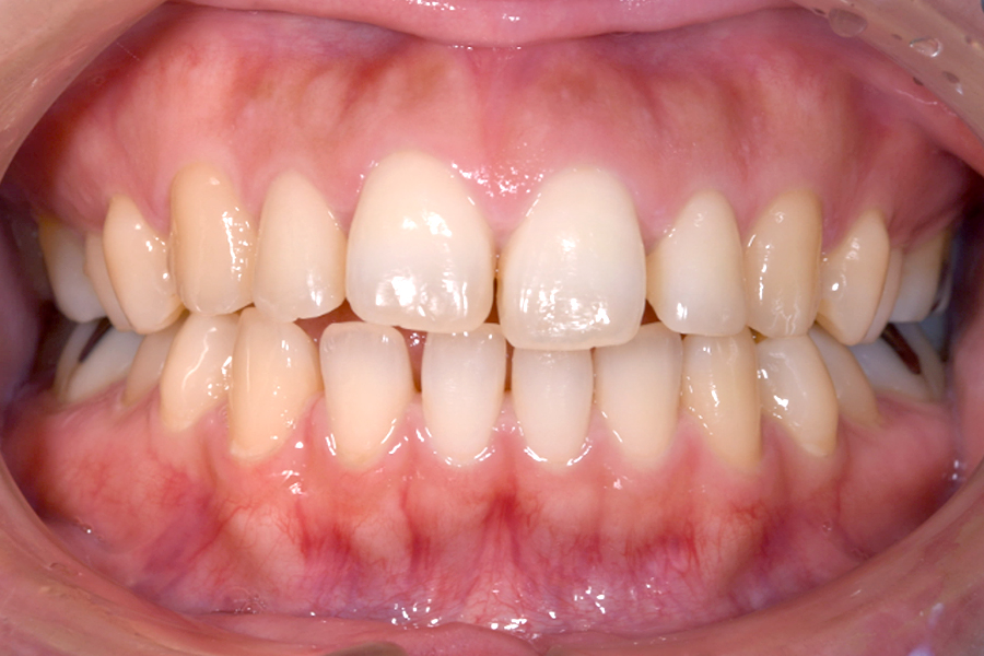
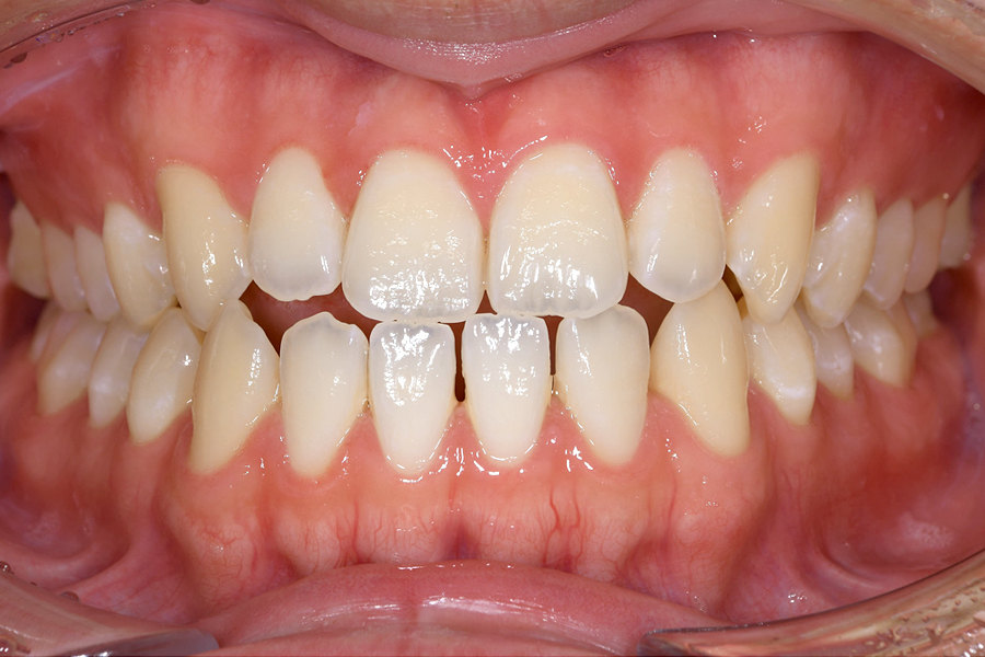
| 主訴 | 歯並びを治したい |
|---|---|
| 治療期間 | 5か月 |
| 治療費 | 部分マウスピース矯正(モニターキャンペーン)と ホワイトニングセット 422,596円(税込) |
| 治療内容 | 目立ちにくいマウスピース矯正 (非抜歯矯正) 歯と歯の間に隙間をつくることにより、歯列弓を広げながら治療を行いました。 また矯正用マウスピースをトレー代わりにし、ジェルを入れてホームホワイトニングを同時に行っております。 |
| 治療のリスク | ・後戻りする可能性があるのでリテーナーを最低でも矯正期間以上はつける必要があります。 ・ホワイトニング後、一時的に痛みが出る場合があります。 |
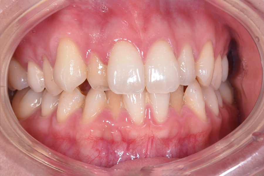
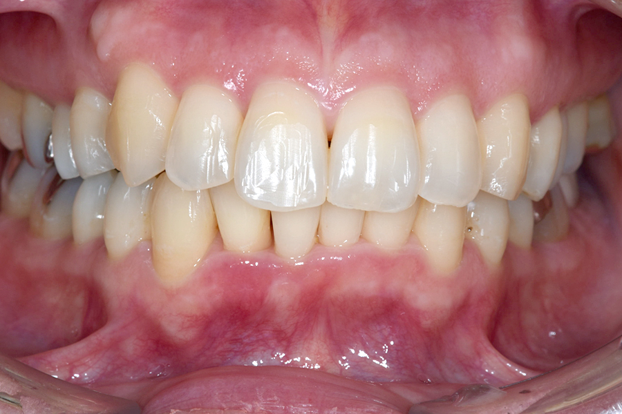
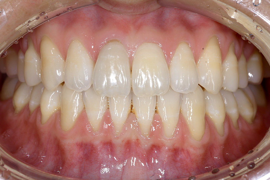
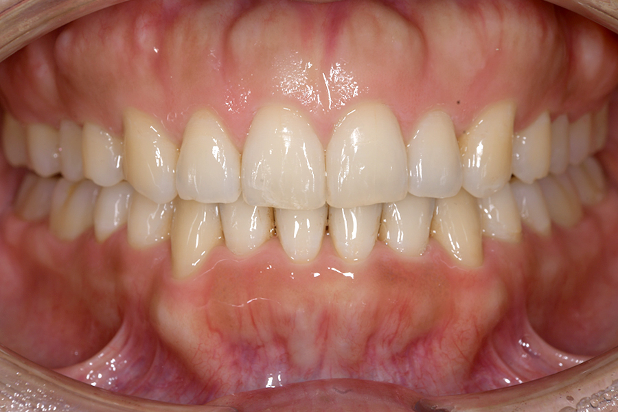
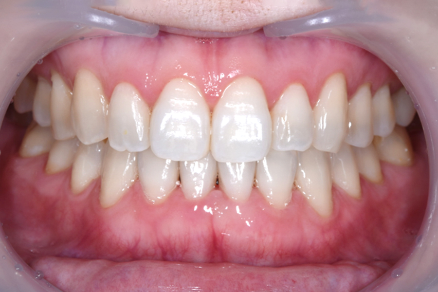
| 主訴 | 歯並びを治したい |
|---|---|
| 治療期間 | 1年9か月 |
| 治療費 | ¥1,023,800(税込) |
| 治療内容 | 目立ちにくいマウスピース矯正(非抜歯矯正) 歯と歯の間に隙間をつくることにより、 歯列弓を広げながら治療を行いました。 |
| 治療のリスク | ・後戻りする可能性があるので リテーナーを最低でも矯正期間以上はつけること ・歯の移動中に、歯の神経が過敏になり冷たいものや熱いものがしみたりする場合があります。 |
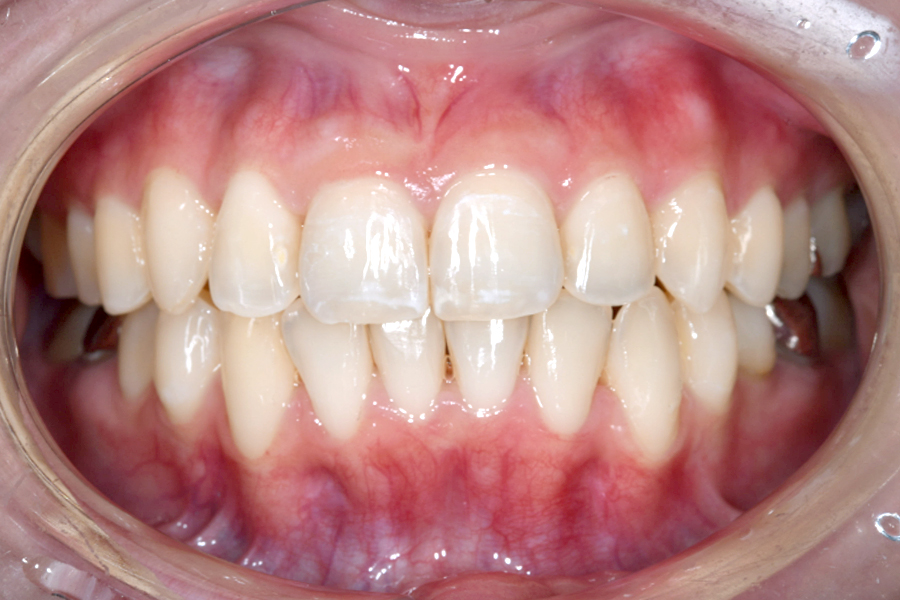
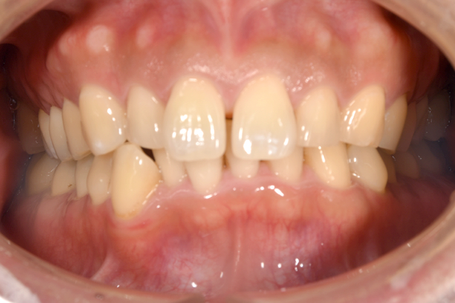
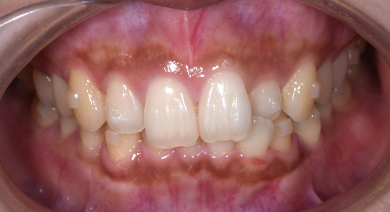
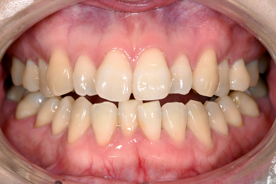
| 主訴 | 前歯で噛めない、 奥歯だけで食事するのが困っている |
|---|---|
| 治療期間 | 3年3か月 |
| 治療費 | ¥980,000(税込) |
| 治療内容 | 目立ちにくいマウスピース矯正(非抜歯矯正) 歯と歯の間に隙間をつくることにより、 歯列弓を広げながら治療を行いました。 |
| 治療のリスク | ・後戻りする可能性があるので リテーナーを最低でも矯正期間以上はつけること ・歯の移動中に、歯の神経が過敏になり冷たいものや熱いものがしみたりする場合があります。 |
| 主訴 | 右上が気になる、 下顎の歯並びを治したい |
|---|---|
| 治療期間 | 3年 |
| 治療費 | ¥980,000(税込) |
| 治療内容 | 目立ちにくいマウスピース矯正(非抜歯矯正) 歯と歯の間に隙間をつくることにより、 歯列弓を広げながら治療を行いました。 |
| 治療のリスク | ・後戻りする可能性があるので リテーナーを最低でも矯正期間以上はつけること ・歯の移動中に、歯の神経が過敏になり冷たいものや熱いものがしみたりする場合があります。 |
| 主訴 | 全体的に引っ込めたい、 口ゴボが気になる |
|---|---|
| 治療期間 | 1年8か月 |
| 治療費 | マウスピース矯正 ¥980,000(税込) |
| 治療内容 | 目立ちにくいマウスピース矯正(非抜歯矯正) 歯と歯の間に隙間をつくることにより、 歯列弓を広げながら治療を行いました。 |
| 治療のリスク | ・後戻りする可能性があるので リテーナーを最低でも矯正期間以上はつけること ・歯の移動中に、歯の神経が過敏になり冷たいものや熱いものがしみたりする場合があります。 |
| 主訴 | 上下の前歯のガタツキが気になる |
|---|---|
| 治療期間 | 8か月 |
| 治療費 | 部分マウスピース矯正(モニターキャンペーン)と ホワイトニングセット 472,596円(税込) |
| 治療内容 | 目立ちにくいマウスピース矯正 (非抜歯矯正) 歯と歯の間に隙間をつくることにより、歯列弓を広げながら治療を行いました。 また矯正用マウスピースをトレー代わりにし、ジェルを入れてホームホワイトニングを同時に行っております。 |
| 治療のリスク | ・後戻りする可能性があるのでリテーナーを最低でも矯正期間以上はつける必要があります。 ・ホワイトニング後、一時的に痛みが出る場合があります。 ・ほっぺた、唇、舌などに口内炎や傷ができることがあります。 |
| 主訴 | 下の前歯の隙間が気になる 上の前歯の突出が気になる |
|---|---|
| 治療期間 | 6か月 |
| 治療費 | マウスピース矯正 476,650円(税込) |
| 治療内容 | 目立ちにくいマウスピース矯正(非抜歯矯正) 歯と歯の間に隙間をつくることにより、歯列弓を広げながら治療を行いました。 |
| 治療のリスク | ・後戻りする可能性があるのでリテーナーを最低でも矯正期間以上はつけること。 ・稀にほっぺた、唇、舌などに口内炎や傷ができることがあります。 |
| 主訴 | 上下前歯のガタツキが気になる |
|---|---|
| 治療期間 | 1年4か月 |
| 治療費 | マウスピース矯正とホワイトニングセット 1,018,296円(税込) |
| 治療内容 | 目立ちにくいマウスピース矯正(非抜歯矯正) 歯と歯の間に隙間をつくることにより、歯列弓を広げながら治療を行いました。 また矯正用マウスピースをトレー代わりにし、ジェルを入れてホームホワイトニングを同時に行っております。 |
| 治療のリスク |
・後戻りする可能性があるのでリテーナーを最低でも矯正期間以上はつけること。 ・ホワイトニング後、一時的に痛みが出る場合があります。 ・稀にほっぺた、唇、舌などに口内炎や傷ができることがあります。 |
| 主訴 | 上下前歯のガタツキと口ボゴ、突出が気になる |
|---|---|
| 治療期間 | 2年2か月 |
| 治療費 | マウスピース矯正とホワイトニングセット 1,018,296円(税込) |
| 治療内容 | 目立ちにくいマウスピース矯正(非抜歯矯正) 歯と歯の間に隙間をつくることにより、歯列弓を広げながら治療を行いました。 また矯正用マウスピースをトレー代わりにし、ジェルを入れてホームホワイトニングを同時に行っております。 |
| 治療のリスク |
・後戻りする可能性があるのでリテーナーを最低でも矯正期間以上はつけること。 ・ホワイトニング後、一時的に痛みが出る場合があります。 ・稀にほっぺた、唇、舌などに口内炎や傷ができることがあります。 |
| 主訴 | 八重歯が気になる |
|---|---|
| 治療期間 | 1年3か月 |
| 治療費 | マウスピース矯正 980,000円(税込) |
| 治療内容 | 目立ちにくいマウスピース矯正(非抜歯矯正) 歯と歯の間に隙間をつくることにより、歯列弓を広げながら治療を行いました。 |
| 治療のリスク |
・後戻りする可能性があるのでリテーナーを最低でも矯正期間以上はつけること。 ・稀にほっぺた、唇、舌などに口内炎や傷ができることがあります。 |
| 主訴 | 八重歯があり歯磨きがやりづらい |
|---|---|
| 治療期間 | 2年9か月 |
| 治療費 | マウスピース矯正 980,000円(税込) |
| 治療内容 | 目立ちにくいマウスピース矯正(非抜歯矯正) 歯と歯の間に隙間をつくることにより、歯列弓を広げながら治療を行いました。 |
| 治療のリスク |
・後戻りする可能性があるのでリテーナーを最低でも矯正期間以上はつけること。 ・稀にほっぺた、唇、舌などに口内炎や傷ができることがあります。 |
| 主訴 | 上下前歯のガタツキ、かみ合わせが悪い |
|---|---|
| 治療期間 | 2年3か月 |
| 治療費 | マウスピース矯正とホワイトニングセット 1,018,296円(税込) |
| 治療内容 | 目立ちにくいマウスピース矯正(非抜歯矯正) 歯と歯の間に隙間をつくることにより、歯列弓を広げながら治療を行いました。 また矯正用マウスピースをトレー代わりにし、ジェルを入れてホームホワイトニングを同時に行っております。 |
| 治療のリスク |
・後戻りする可能性があるのでリテーナーを最低でも矯正期間以上はつけること。 ・ホワイトニング後、一時的に痛みが出る場合があります。 ・稀にほっぺた、唇、舌などに口内炎や傷ができることがあります。 |
| 主訴 | 上の前歯の突出が気になる |
|---|---|
| 治療期間 | 5か月 |
| 治療費 | マウスピース矯正 476,650円(税込) |
| 治療内容 | 目立ちにくいマウスピース矯正(非抜歯矯正) 歯と歯の間に隙間をつくることにより、歯列弓を広げながら治療を行いました。 |
| 治療のリスク |
・後戻りする可能性があるのでリテーナーを最低でも矯正期間以上はつけること。 ・稀にほっぺた、唇、舌などに口内炎や傷ができることがあります。 |
| 主訴 | 上下前歯のガタツキ、八重歯が気になる |
|---|---|
| 治療期間 | 2年6か月 |
| 治療費 | マウスピース矯正 980,000円(税込) |
| 治療内容 | 目立ちにくいマウスピース矯正(非抜歯矯正) 歯と歯の間に隙間をつくることにより、歯列弓を広げながら治療を行いました。 |
| 治療のリスク |
・後戻りする可能性があるのでリテーナーを最低でも矯正期間以上はつけること。 ・稀にほっぺた、唇、舌などに口内炎や傷ができることがあります。 |
| 主訴 | 上下前歯のガタツキとかみ合わせが悪い |
|---|---|
| 治療期間 | 5か月 |
| 治療費 | マウスピース矯正 476,650円(税込) |
| 治療内容 | 目立ちにくいマウスピース矯正(非抜歯矯正) 歯と歯の間に隙間をつくることにより、歯列弓を広げながら治療を行いました。 |
| 治療のリスク |
・後戻りする可能性があるのでリテーナーを最低でも矯正期間以上はつけること。 ・稀にほっぺた、唇、舌などに口内炎や傷ができることがあります。 |
| 主訴 | 上の前歯が出っ歯、突出が気になる |
|---|---|
| 治療期間 | 1年 |
| 治療費 | マウスピース矯正 960,650円(税込) |
| 治療内容 | 目立ちにくいマウスピース矯正(非抜歯矯正) 歯と歯の間に隙間をつくることにより、歯列弓を広げながら治療を行いました。 |
| 治療のリスク |
・後戻りする可能性があるのでリテーナーを最低でも矯正期間以上はつけること。 ・稀にほっぺた、唇、舌などに口内炎や傷ができることがあります。 |
| 主訴 | 上の前歯の隙間と下の前歯のガタツキ、かみ合わせが悪い |
|---|---|
| 治療期間 | 1年2か月 |
| 治療費 | マウスピース矯正とホワイトニングセット 1,018,296円(税込) |
| 治療内容 | 目立ちにくいマウスピース矯正(非抜歯矯正) 歯と歯の間に隙間をつくることにより、歯列弓を広げながら治療を行いました。 また矯正用マウスピースをトレー代わりにし、ジェルを入れてホームホワイトニングを同時に行っております。 |
| 治療のリスク |
・後戻りする可能性があるのでリテーナーを最低でも矯正期間以上はつけること。 ・ホワイトニング後、一時的に痛みが出る場合があります。 ・稀にほっぺた、唇、舌などに口内炎や傷ができることがあります。 |
| 主訴 | 上下前歯のガタツキ、かみ合わせが悪い |
|---|---|
| 治療期間 | 1年3か月 |
| 治療費 | マウスピース矯正とホワイトニングセット 1,018,296円(税込) |
| 治療内容 | 目立ちにくいマウスピース矯正(非抜歯矯正) 歯と歯の間に隙間をつくることにより、歯列弓を広げながら治療を行いました。 また矯正用マウスピースをトレー代わりにし、ジェルを入れてホームホワイトニングを同時に行っております。 |
| 治療のリスク |
・後戻りする可能性があるのでリテーナーを最低でも矯正期間以上はつけること。 ・ホワイトニング後、一時的に痛みが出る場合があります。 ・稀にほっぺた、唇、舌などに口内炎や傷ができることがあります。 |
| 主訴 | 前歯の噛み合わせ、下顎前歯の隙間が気になる |
|---|---|
| 治療期間 | 1年3か月 |
| 治療費 | マウスピース矯正 882,000円(税込) |
| 治療内容 | 目立ちにくいマウスピース矯正(非抜歯矯正) 歯と歯の間に隙間をつくることにより、歯列弓を広げながら治療を行いました。 |
| 治療のリスク |
・後戻りする可能性があるのでリテーナーを最低でも矯正期間以上はつけること。 ・稀にほっぺた、唇、舌などに口内炎や傷ができることがあります。 |
| 主訴 | 上下前歯のすきっ歯が気になる |
|---|---|
| 治療期間 | 1年5か月 |
| 治療費 | マウスピース矯正 956,596円(税込) |
| 治療内容 | 目立ちにくいマウスピース矯正(非抜歯矯正) 歯と歯の間に隙間をつくることにより、歯列弓を広げながら治療を行いました。 |
| 治療のリスク |
・後戻りする可能性があるのでリテーナーを最低でも矯正期間以上はつけること。 ・稀にほっぺた、唇、舌などに口内炎や傷ができることがあります。 |
| 主訴 | 上下前歯のガタツキとねじれが気になる |
|---|---|
| 治療期間 | 1年1か月 |
| 治療費 | マウスピース矯正とホワイトニングセット 956,596円(税込) |
| 治療内容 | 目立ちにくいマウスピース矯正(非抜歯矯正) 歯と歯の間に隙間をつくることにより、歯列弓を広げながら治療を行いました。 また矯正用マウスピースをトレー代わりにし、ジェルを入れてホームホワイトニングを同時に行っております。 |
| 治療のリスク |
・後戻りする可能性があるのでリテーナーを最低でも矯正期間以上はつけること。 ・ホワイトニング後、一時的に痛みが出る場合があります。 ・稀にほっぺた、唇、舌などに口内炎や傷ができることがあります。 |
| 主訴 | 他院でこの噛み合わせ・歯並びだと歯周病になる可能性が高いと言われて 気になりはじめた |
|---|---|
| 治療期間 | 2年 |
| 治療費 | マウスピース矯正 960,650円(税込) |
| 治療内容 | 目立ちにくいマウスピース矯正(非抜歯矯正) 歯と歯の間に隙間をつくることにより、歯列弓を広げながら治療を行いました。 |
| 治療のリスク |
・後戻りする可能性があるのでリテーナーを最低でも矯正期間以上はつけること。 ・稀にほっぺた、唇、舌などに口内炎や傷ができることがあります。 |
| 主訴 | 前歯のガタつきが気になる |
|---|---|
| 治療期間 | 1年8か月 |
| 治療費 | マウスピース矯正 956,800円(税込) |
| 治療内容 | 目立ちにくいマウスピース矯正(非抜歯矯正) 歯と歯の間に隙間をつくることにより、歯列弓を広げながら治療を行いました。 |
| 治療のリスク |
・後戻りする可能性があるのでリテーナーを最低でも矯正期間以上はつけること。 ・稀にほっぺた、唇、舌などに口内炎や傷ができることがあります。 |
| 主訴 | 前歯のガタツキが気になる |
|---|---|
| 治療期間 | 1年 |
| 治療費 | マウスピース矯正とホワイトニングセット 1,128,296円(税込) |
| 治療内容 | 目立ちにくいマウスピース矯正(非抜歯矯正) 歯と歯の間に隙間をつくることにより、歯列弓を広げながら治療を行いました。 また矯正用マウスピースをトレー代わりにし、ジェルを入れてホームホワイトニングを同時に行っております。 |
| 治療のリスク |
・後戻りする可能性があるのでリテーナーを最低でも矯正期間以上はつけること。 ・ホワイトニング後、一時的に痛みが出る場合があります。 ・稀にほっぺた、唇、舌などに口内炎や傷ができることがあります。 |
平尾・薬院の歯医者・歯科「友枝歯科・矯正歯科クリニック平尾」は福岡市中央区平尾のおもてなしとアンチエイジングを軸にした新しいクリニックです。幸せを追求し、健康長寿を実現する新しい歯科医療を提供し、社会に貢献します。ホワイトニング、矯正歯科、審美歯科など幅広い治療を行います。