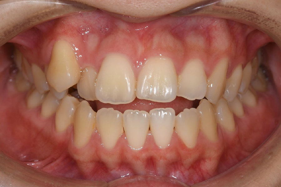
歯が痛い、前歯を綺麗にしたい
【セラミック治療・
ダイレクトボンディング・
オフィスホワイトニング】
- 主訴
- 歯が痛い、前歯を綺麗にしたい
- 期間
- 約8ヶ月
- 費用
- 1,426,790円(税込)
- 治療内容
- オフィスホワイトニング、ダイレクトボンディング、セラミック治療
(現在マウスピース矯正中)
前歯が4本クラウンが入るように削り、型取りを行った。
クラウン完成後、装着し調整を行った。
- 治療に伴うリスク
- ・治療後、軽い出血や痛みを伴う可能性があります
・稀にセラミックが欠ける場合があります
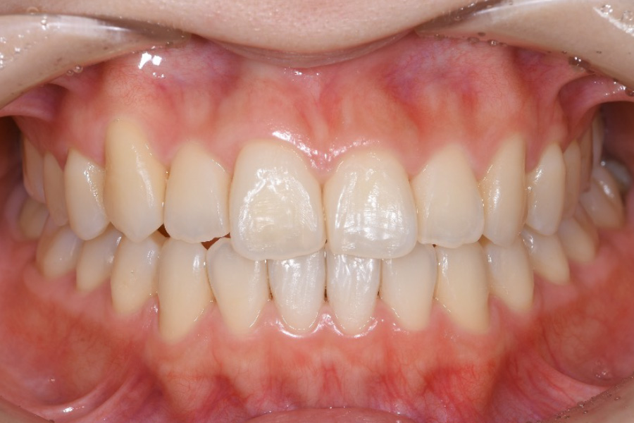
歯を矯正したい
【マウスピース矯正】
- 主訴
- 矯正希望
- 期間
- 1年4か月
- 費用
- マウスピース矯正とホワイトニングセット
1,018,296円(税込)
- 治療内容
- 目立ちにくいマウスピース矯正(非抜歯矯正)
歯と歯の間に隙間をつくることにより、歯列弓を広げながら治療を行いました。
また矯正用マウスピースをトレー代わりにし、ジェルを入れてホームホワイトニングを同時に行っております。
- 治療に伴うリスク
- ・後戻りする可能性があるのでリテーナーを最低でも矯正期間以上はつけること
・ホワイトニング後、一時的に痛みが出る場合があります
・稀にほっぺた、唇、舌などに口内炎や傷ができることがあります
歯を矯正したい
【マウスピース矯正】
- 主訴
- 矯正希望
- 期間
- 5年
- 費用
- マウスピース矯正とプレミアムホワイトニングセット
1,280,340円(税込)
- 治療内容
- 目立ちにくいマウスピース矯正(非抜歯矯正)
歯と歯の間に隙間をつくることにより、歯列弓を広げながら治療を行いました。
また矯正用マウスピースをトレー代わりにし、ジェルを入れてホームホワイトニングを同時に行っております。
- 治療に伴うリスク
- ・後戻りする可能性があるのでリテーナーを最低でも矯正期間以上はつけること
・ホワイトニング後、一時的に痛みが出る場合があります
・稀にほっぺた、唇、舌などに口内炎や傷ができることがあります
上の前歯が前に出て口ゴボになっている。
歯がガタガタしている。
【マウスピース矯正】
- 主訴
- 上の前歯が前に出て口ゴボになっている。
歯がガタガタしている。
- 期間
- 6か月
- 費用
- マウスピース矯正
839,300円(税込)
- 治療内容
- 目立ちにくいマウスピース矯正(非抜歯矯正)
歯と歯の間に隙間をつくることにより、歯列弓を広げながら治療を行いました。
- 治療に伴うリスク
- ・後戻りする可能性があるのでリテーナーを最低でも矯正期間以上はつけること
・稀にほっぺた、唇、舌などに口内炎や傷ができることがあります
全体的に引っ込めたい。
口ゴボが気になる
【マウスピース矯正・
ホームホワイトニング】
- 主訴
- 全体的に引っ込めたい。口ゴボが気になる。
- 期間
- 1年8か月
- 費用
- マウスピース矯正
980,000円(税込)
- 治療内容
- 目立ちにくいマウスピース矯正(非抜歯矯正)とホームホワイトニングと審美歯科治療
歯と歯の間に隙間をつくることにより、歯列弓を広げながら治療を行いました。
また矯正用マウスピースをトレー代わりにし、ジェルを入れてホームホワイトニングを同時に行っております。
- 治療に伴うリスク
- ・後戻りする可能性があるのでリテーナーを最低でも矯正期間以上はつけること
・ホワイトニング後、一時的に痛みが出る場合があります
・稀にほっぺた、唇、舌などに口内炎や傷ができることがあります
見た目を治したい・歯を白くしたい
【マウスピース矯正・
ホームホワイトニング】
- 主訴
- 見た目を治したい・歯を白くしたい
- 期間
- 1年6か月
- 費用
- マウスピース矯正とホームホワイトニングセット
1,022,350円(税込)(2024年時点)
- 治療内容
- 目立ちにくいマウスピース矯正(非抜歯矯正)
歯と歯の間に隙間をつくることにより、歯列弓を広げながら治療を行いました。
また矯正用マウスピースをトレー代わりにし、ジェルを入れてホームホワイトニングを同時に行っております。
- 治療に伴うリスク
- ・後戻りする可能性があるのでリテーナーを最低でも矯正期間以上はつけること
・ホワイトニング後、一時的に痛みが出る場合があります
・稀にほっぺた、唇、舌などに口内炎や傷ができることがあります











