歯を矯正したい
【マウスピース矯正】
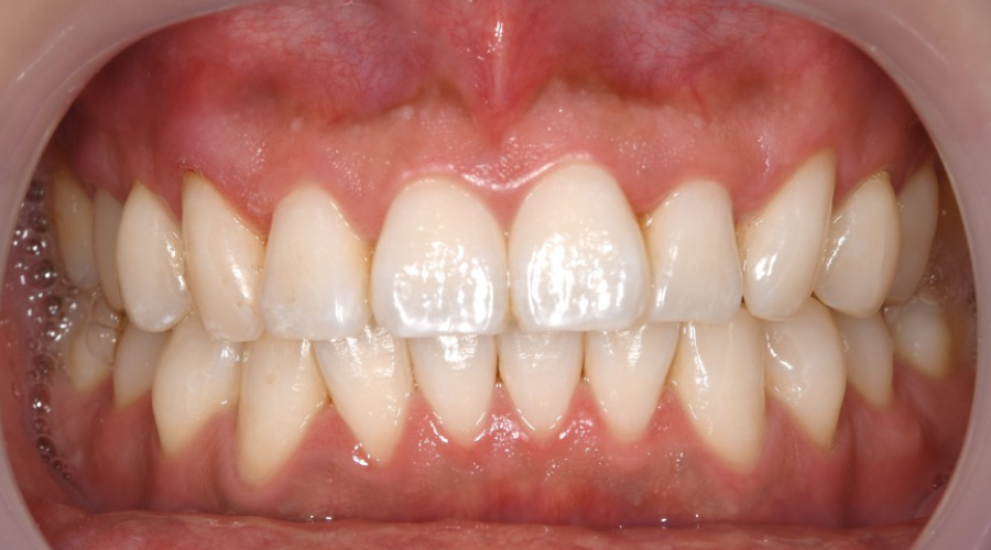
治療前
治療後
| 主訴 | 矯正希望 |
|---|---|
| 期間 | 1年4か月 |
| 費用 | マウスピース矯正とホワイトニングセット 1,018,296円(税込) |
| 治療内容 | 目立ちにくいマウスピース矯正(非抜歯矯正) 歯と歯の間に隙間をつくることにより、歯列弓を広げながら治療を行いました。 また矯正用マウスピースをトレー代わりにし、ジェルを入れてホームホワイトニングを同時に行っております。 |
| 治療に伴うリスク | ・後戻りする可能性があるのでリテーナーを最低でも矯正期間以上はつけること ・ホワイトニング後、一時的に痛みが出る場合があります ・稀にほっぺた、唇、舌などに口内炎や傷ができることがあります |



















